Помогите нам выпускать больше полезных материалов для пациентов и их близких
ПоддержатьУ костных сарком нет специфических признаков, что очень часто является причиной поздней диагностики. Их легко можно спутать с травмой, болями в мышцах после тренировки. Поэтому необходимо обращать внимание на общие симптомы, которые могут быть признаками развития злокачественной опухоли кости.
Саркома Юинга — редкая злокачественная опухоль, в большинстве случаев поражает кости.
Самые распространенные жалобы – боль и отек или припухлость в области опухоли, которые длятся несколько недель или месяцев. В начале боль может быть слабой, но достаточно быстро усиливается при физических нагрузках и по ночам. В области пораженной кости у ребенка может появиться плотное болезненное образование, иногда кожа над ним краснеет и становится горячей.
При значительном опухолевом поражении может произойти патологический перелом кости — при незначительной травме или минимальной нагрузке нарушается ее целостность.
Симптомы зависят от расположения опухоли:
при поражении сустава — ограничение его подвижности;
при поражении ребер — боль при дыхании, кашель, одышка;
при опухолях позвоночника и крестца — нарушение работы кишечника и мочевого пузыря. Опухоль сдавливает спинной мозг, и ребенок перестает контролировать поход в туалет. Его могут беспокоить задержка или подтекание мочи, запоры, недержание.
При метастатическом поражении опухолевые клетки выходят за пределы первичного очага и распространяются в отдаленные органы и ткани. Чаще всего саркома Юинга метастазирует в легкие, другие кости и костный мозг, реже — в лимфатические узлы, печень, головной мозг.
У некоторых пациентов отмечаются симптомы, характерные для большинства онкологических заболеваний, — повышение температуры, слабость, снижение массы тела, анемия. Бывает и так, что метастазы обнаруживаются случайно, например, при плановой флюорографии, после чего врачи начинают обследование для поиска первичного очага.
Остеогенная саркома (остеосаркома) — самая частая злокачественная опухоль костей у детей. Для нее наиболее типично метастазирование в легкие, реже — в кости.
Основные симптомы – боль и отек в месте, где находится первичная опухоль. У большинства пациентов боль длится несколько месяцев — в среднем 3-4, часто возникает после травмы. Со временем она может усиливаться или ослабевать. Из-за разрушения опухолью костной ткани могут происходить патологические переломы.

Источник: Детский центр костной патологии и отропедии
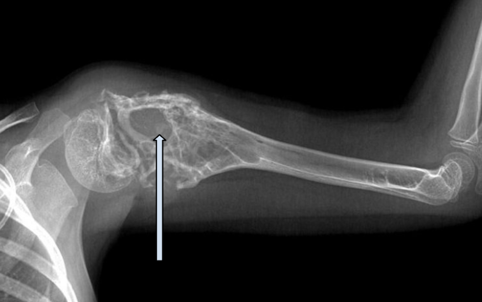
Выше — множественные очаги деструкции (разрушения) плечевой кости; опухоль разрушает нормальную костную ткань, кость становится менее плотная, тем самым повышается риск патологического перелома.
При осмотре выявляются припухлость мягких тканей, их уплотнение и болезненность. Кожа в области опухоли может стать красной, с усиленным сосудистым рисунком, горячей на ощупь или оставаться без изменений. Если поражена конечность, то будут наблюдаться ограничение подвижности, боль при физической нагрузке, хромота.
Общие симптомы, такие как лихорадка, снижение веса и слабость, при остеосаркоме встречаются очень редко.
Костные саркомы часто диагностируются поздно, через несколько месяцев после появления первых симптомов.
Главный клинический симптом — боль, которая усиливается ночью и не проходит в покое.
Часто начало болевого синдрома совпадает с ушибом, падением, из-за чего ребенку могут месяцами ошибочно лечить “травму”.
При длительно сохраняющихся костных болях необходим осмотр врача-онколога.
Информация об остеосаркоме на портале Германского Общества Детских Гематологов и Онкологов (на русском языке)
Наши статьи написаны с учетом принципов доказательной медицины. При подготовке материалов мы обращаемся за консультациями к практикующим врачам и ссылаемся на авторитетные источники. Однако все наши тексты носят рекомендательный характер и не заменяют визит к специалисту.