Помогите нам выпускать больше полезных материалов для пациентов и их близких
ПоддержатьСвоевременная и точная радиологическая диагностика играет решающую роль в определении стадии, оценке прогноза и планировании лечения костных сарком. Пациенту проводят несколько радиологических исследований, чтобы увидеть полную картину заболевания.
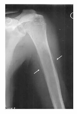
Рентгенография служит методом первичной диагностики — она позволяет заподозрить сам факт опухолевого процесса в костях. Существуют типичные рентгенологические признаки злокачественных опухолей костей. Среди них, в том числе, нарушение целостности внешнего слоя кости — так называемый «козырек» Кодмана, особенно характерный для остеосаркомы, а также «луковичный» периостит, который чаще наблюдается при саркоме Юинга.
Луковичный периостит при саркоме Юинга

"Козырек" Кодмана при остеосаркоме. Источник: Radiopaedia.org
Компьютерная томография (КТ) дает более детальное изображение по сравнению с обычным рентгеновским снимком. Она лучше показывает мелкие повреждения костной ткани, отложения кальция и изменения в надкостнице — наружном слое кости. Этот метод особенно полезен при исследовании опухолей в области таза, позвоночника или грудины.
При подозрении на опухоль компьютерную томографию проводят со специальным контрастным веществом, которое вводят в вену. Это позволяет четко отличить опухоль от окружающей здоровой ткани. Помимо определения местоположения первичного очага опухоли, с помощью КТ можно увидеть и отдаленные метастазы. Например, с этой целью проводят КТ легких.
Также КТ нужна для планирования биопсии — процедуры, во время которой берут на анализ ткань опухоли. С помощью визуального исследования определяется место, куда именно нужно ввести иглу, чтобы получить достаточное количество ткани.
МРТ — один из основных методов исследования сарком. С помощью этого исследования можно определить, насколько образование распространилось внутри кости (в том числе по костно‑мозговому каналу) и за ее пределами. Также МРТ позволяет оценить расположение опухоли относительно других органов, сосудов и нервов — это нужно для планирования операции.
Существует противопоказание к МРТ — наличие металлических имплантов: например, эндопротезов. В таких случаях предпочтение отдают компьютерной томографии.
Стоит отметить, что КТ и МРТ не исключают и не заменяют друг друга. Для точной оценки костной патологии, понимания степени распространенности опухоли и предположения возможных вариантов диагноза наилучший путь — комплексное обследование пациента с использованием сочетания МРТ и КТ.
Этот метод основан на введении радиофармпрепарата (РФП), который накапливается в костях. Он позволяет обнаружить патологические изменения костной ткани и оценить степень активности опухолевого процесса. Для визуализации костных сарком используется контрастное вещество 18-фтордезоксиглюкоза (18-ФДГ).
При проведении этого исследования у детей надо учитывать важный нюанс: в зонах роста костей организм естественным образом активнее накапливает радиофармпрепарат. Из‑за этого сложно точно понять, является ли повышенное накопление признаком опухоли или просто отражает физиологические процессы в растущей кости.
Степень накопления радиофармпрепарата зависит от активности опухолевого процесса и характера повреждения кости. Например, при остеобластической остеосаркоме отмечается высокое и однородное накопление, при остеолитической — неоднородность зоны контрастирования, при смешанной — сочетание участков высокого и относительно низкого накопления контраста.
По аналогии с ПЭТ-КТ при остеосцинтиграфии используют радиофармпрепарат — соединения технеция (99 Тс). Остеосцинтиграфия проводится для обнаружения первичной опухоли и оценки ее распространения на другие кости, поиска метастазов, а также контроля эффективности лечения. Как правило, этот метод используют при отсутствии возможности выполнения ПЭТ-КТ или в дополнение к ней.
Для повышения точности диагностики используется гибридный метод — ОФЭКТ/КТ (однофотонная эмиссионная компьютерная томография в сочетании с КТ). Это исследование позволяет точно определить место очагов, обнаруженных с помощью сцинтиграфии.
Рентгенография — первый этап диагностики, она позволяет обнаружить признаки костных опухолей: например, «козырек» Кодмана или «луковичный» периостит.
Компьютерная томография помогает визуализировать повреждения кости, определить место для биопсии и найти метастазы.
Магнитно-резонансная томография показывает распространение опухоли в окружающих тканях и ее взаимодействие с сосудами и нервами.
ПЭТ‑КТ с 18‑ФДГ, остеосцинтиграфия и ОФЭКТ/КТ показывают степень активности опухоли. Также их используют для оценки степени распространенности опухоли и для поиска отдаленных метастазов.
Наши статьи написаны с учетом принципов доказательной медицины. При подготовке материалов мы обращаемся за консультациями к практикующим врачам и ссылаемся на авторитетные источники. Однако все наши тексты носят рекомендательный характер и не заменяют визит к специалисту.