Саркомы у детей
Написать в Просто спросить

Радиологическая диагностика мягкотканных сарком

21 апреля 2026

Ранняя и точная диагностика мягкотканных сарком критически важна для планирования тактики лечения и оценки прогноза. Радиологические методы обследования играют ключевую роль в диагностике этих злокачественных опухолей.

Мягкотканные саркомы — это неоднородная группа редких злокачественных опухолей мезенхимального происхождения. Они составляют примерно 10% от всех онкологических заболеваний у детей. 

Этапы диагностики 

При подозрении на  саркому мягких тканей в первую очередь проводят три главных этапа диагностики.

1. Сбор анамнеза и осмотр — более подробно об этом можно прочитать в статье, посвященной симптомам мягкотканных сарком.

2. Радиологическая диагностика — она помогает увидеть саму опухоль и возможные метастазы в других органах. Чаще всего для получения изображения саркомы мягких тканей используются компьютерная томография (КТ) и магнитно-резонансная томография (МРТ). Более подробно про эти и другие методы радиологической диагностики мы расскажем в этой статье. 

3. Биопсия — взятие образца ткани и ее гистологическое исследование. Это исследование необходимо для окончательной диагностики и планирования лечения. Подробнее об этом этапе можно прочитать в другой статье на «Онко Вики».

Методы лучевой диагностики

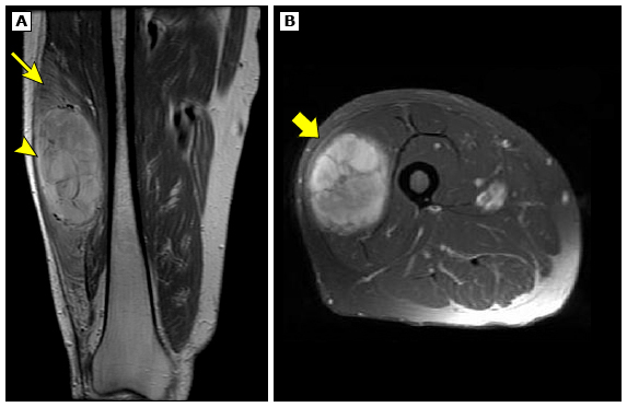
Магнитно-резонансная томография (МРТ)

При проведении МРТ используются радиоволны и мощные магниты для получения снимков областей внутри тела. МРТ является предпочтительным исследованием при саркоме мягких тканей туловища, конечностей, головы и шеи. Этот метод позволяет оценить изображение в разных плоскостях, а значит, точнее определить размер опухоли и ее связь с окружающими тканями.

Признаки, указывающие на злокачественность: 

  • неоднородная структура опухоли; 

  • наличие некроза (зоны мертвых тканей опухоли); 

  • отек вокруг опухоли и накопление контраста в ее тканях; 

  • инфильтративный рост (прорастание в окружающие ткани).

МРТ мягкотканной саркомы бедра. Источник изображения: UpToDate, “Clinical presentation, diagnostic evaluation, and staging of soft tissue sarcoma”

Компьютерная томография (КТ)

При проведении КТ делается множество рентгеновских снимков одной и той же части тела под разными углами, которые затем объединяются с помощью компьютерной технологии. КТ  работает так же эффективно, как и МРТ для исследования мягких тканей: преимущественно в брюшной полости, внутренностях или забрюшинном пространстве.

КТ органов грудной клетки — стандартное исследование для выявления метастазов в легких у всех пациентов с саркомой мягких тканей.

КТ мягкотканной саркомы бедра. Источник изображения: UpToDate, “Clinical presentation, diagnostic evaluation, and staging of soft tissue sarcoma”

Позитронно-эмиссионная томография (ПЭТ-КТ)

ПЭТ/КТ обычно не используют для диагностики саркомы мягких тканей, так как этот метод имеет низкую чувствительность к некоторым подтипам мягкотканных сарком. Кроме того, он не дает изображение той точности, которая необходима для планирования хирургической операции.

Однако в некоторых ситуациях ПЭТ/КТ может быть полезна и помогает отличить злокачественную опухоль от доброкачественной. Исследования показывают, что ПЭТ/КТ с использованием особого радиофармпрепарата — фтордезоксиглюкозы (18-ФДГ) помогает отличить доброкачественные опухоли мягких тканей от сарком. 

Стоит отметить, что опухоли низкой агрессивности данный метод может не “увидеть”.

Также ПЭТ/КТ может быть полезна для уточнения типа опухоли в сложных случаях. При некоторых разновидностях липосарком (жировых опухолей) в забрюшинном пространстве ПЭТ/КТ позволяет понять, насколько распространен процесс. Правда, часто это не влияет на план лечения, поэтому особая ценность метода не очевидна.

Рекомендации NCCN по обследованию саркомы мягких тканей конечности и туловища указывают, что ПЭТ/КТ может быть полезна для прогнозирования, определения стадии и оценки реакции на неоадъювантную (предоперационную) химиотерапию у пациентов с саркомой мягких тканей.

Выводы
  • Визуальные методы исследований играют основную роль в определении стадии заболевания и планировании лечения мягкотканных сарком.

  • Основными методами первичной диагностики мягкотканных сарком являются МРТ (для конечностей, туловища, головы и шеи) и КТ (для брюшной полости и забрюшинного пространства). 

  • МРТ лучше показывает структуру опухоли и ее взаимодействие с окружающими тканями. Также МРТ лучше подходит для визуального обследования образований конечностей, туловища, головы и шеи. 

  • КТ незаменима для поиска метастазов в легких.

  • ПЭТ/КТ не рекомендуется для первичной диагностики из-за риска ошибок (особенно при опухолях низкой степени злокачественности). Этот метод может быть полезен в сложных случаях: например, для уточнения природы липосарком или диагностики у пациентов с нейрофиброматозом.

Что еще почитать?

Обратитесь к врачу

Наши статьи написаны с учетом принципов доказательной медицины. При подготовке материалов мы обращаемся за консультациями к практикующим врачам и ссылаемся на авторитетные источники. Однако все наши тексты носят рекомендательный характер и не заменяют визит к специалисту.

Почему нужна ваша помощь?

Онлайн-энциклопедия о раке «Онко Вики» — благотворительный проект фонда «Не напрасно», существующий на пожертвования. Благодаря пожертвованиям фонд оплачивает работу команды «Онко Вики» — авторов, редакторов, иллюстраторов и разработчиков. Каждый раздел энциклопедии содержит от 30 до 55 статей, которые создают 20–40 авторов. Это практикующие врачи-онкологи из ведущих российских и зарубежных онкологических центров. Наши авторы следуют принципам доказательной медицины, пациентоориентированности и опираются на проверенные современные данные. Сейчас мы собираем средства на подготовку разделов об опухолях головы и шеи — вы можете помочь проекту и оформить разовое или ежемесячное пожертвование. Спасибо!