

Поддержите справочную «Просто спросить», чтобы пациенты получили поддержку вовремя
ПоддержатьПузырный занос происходит в результате неправильного развития внешнего слоя оболочки зародыша, которым он крепится к стенке матки. При этом ворсинки, предназначенные для прикрепления, перерождаются в прозрачные пузырчатые образования. Пузырный занос – это не рак, но иногда может привести к его развитию.
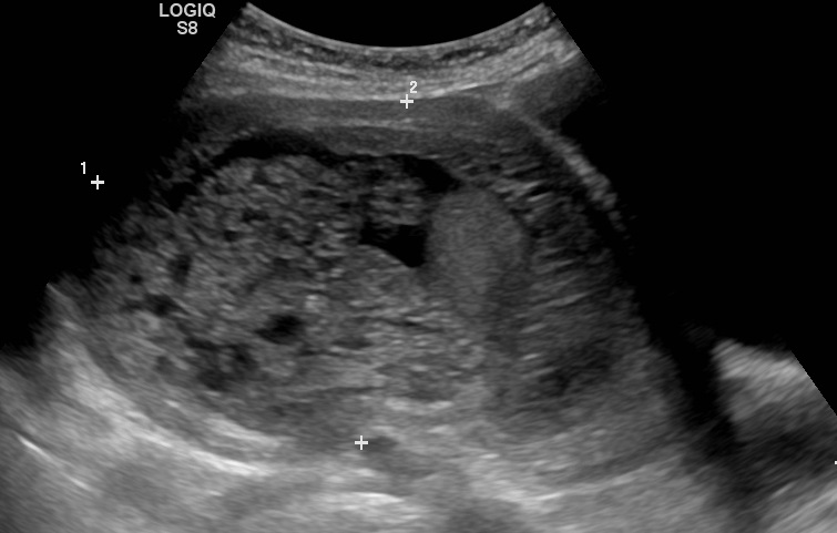
Частичный пузырный занос на УЗИ
Причина развития пузырного заноса – неправильное оплодотворение яйцеклетки, сбой в образовании здоровой зиготы (оплодотворенной яйцеклетки) с нормальным генетическим набором.
При частичном пузырном заносе беременность, как правило, заканчивается самопроизвольным абортом (выкидышем) в конце первого — начале второго триместра.
Официально установленная заболеваемость пузырным заносом различается в разных регионах мира. Страны Северной Америки и Европы сообщают о низких или промежуточных показателях заболеваемости (от 66 до 121 случаев на 100 000 беременностей). Страны Латинской Америки, Азии и Ближнего Востока сообщают о широком диапазоне, включая высокие показатели (от 23 до 1299 на 100 000 беременностей).
Факторы, которые повышают риск возникновения пузырного заноса:
Симптомы могут быть похожи на те, которые соответствуют ранним срокам беременности или осложнениям (внематочной беременности или самопроизвольному аборту). Женщина может жаловаться на задержку менструаций, кровотечение из половых путей, иногда могут выделяться части пузырчатой массы (при полном пузырном заносе), появляются боли внизу живота. Тошнота и рвота, характерные для первого триместра беременности, также встречаются в более тяжелом проявлении при полном пузырном заносе. При полном пузырном заносе размеры матки, как правило, гораздо больше ожидаемого на предполагаемом сроке беременности.
Одним из характерных признаков именно пузырного заноса может быть необычно высокий уровень ХГЧ (хорионического гонадотропина человека). Уровень гормона в крови при полном пузырном заносе может достигать сотен тысяч. ХГЧ – гормон, который начинает вырабатываться после прикрепления эмбриона к стенке матки. Он является одним из важнейших признаков наступления беременности, но в данном случае играет роль онкомаркера.
На более поздних сроках беременности у женщины при пузырном заносе может появиться гипертиреоидизм (повышение функции щитовидной железы) и слишком ранняя (по отношению к обычным срокам появления этого осложнения) преэклампсия (повышение давления, появление белка в моче).
Часто пузырный занос не успевают диагностировать из-за свершившегося самопроизвольного аборта (выкидыша). При частичном пузырном заносе симптомы сглажены и не так ярко проявляются, как при полном..
Для диагностики пузырного заноса применяются:
В некоторых случаях пациентке предлагается выполнить дополнительные визуализационные исследования – такие как рентген или КТ грудной клетки, МРТ головного мозга или ПЭТ-КТ.
Лечение пузырного заноса, в основном, хирургическое: выскабливание полости матки или удаление матки целиком (гистерэктомия). Более предпочтительным методом является выскабливание. Гистерэктомия может подойти женщинам в возрасте старше 40 лет или в случае высокого риска малигнизации (превращения клеток в злокачественные). В редких случаях может проводиться химиотерапия метотрексатом после выскабливания эндометрия, если есть факторы высокого риска перехода заболевания в злокачественное и/или нет возможности контролировать уровень ХГЧ в динамике после лечения.
Хориокарцинома образуется из клеток, которые были частью плаценты при беременности. Она может возникнуть как после выкидыша, аборта, внематочной беременности, пузырного заноса, так и после нормально протекавшей беременности.
Примерно у 15% пациенток после полного удаления пузырного заноса развивается местнораспространенная хорионкарцинома, а у 5% – метастатическое заболевание.
Хорионкарцинома встречается примерно в 2-7 случаях на 100 000 беременностей в Европе и Северной Америке. В Юго-Восточной Азии и Японии частота выше и составляет от 5 до 200 случаев на 100 000 беременностей соответственно.
Основные факторы риска развития хорионкарциномы:
Хориокарцинома проявляется такими симптомами:
Наиболее частыми местами метастазирования являются легкие и влагалище. Появляется одышка, боль в груди, кашель или кровохарканье (если метастазы в легких), головная боль, головокружение, невнятная речь, нарушения зрения, нарушение чувствительности (если метастазы в головном мозге).
В отличие от других злокачественных заболеваний, лечение при хориокарциноме можно начинать, не дожидаясь результатов биопсии. Ключевыми элементами диагностики являются подтверждение повышенного уровня хорионического гонадотропина человека (ХГЧ) и поиск признаков метастатического заболевания. Также проводится подробный опрос об акушерском анамнезе (количестве и исходе беременностей).
Если у пациентки нет жалоб, то на первом этапе диагностики выполняется УЗИ органов малого таза, рентген органов грудной клетки, определяется функция печени по биохимическому анализу крови. Если обнаруживаются метастазы, то вторым этапом выполняется КТ брюшной полости, малого таза, МРТ или КТ головного мозга.
Основным методом лечения является противоопухолевая лекарственная терапия. Хорионкарцинома высоко чувствительна к химиотерапии. Это позволяет достичь полного выздоровления у большинства больных без применения дополнительных методов лечения. Важным критерием успеха лечения является опыт врача в лечении подобных заболеваний.
Согласно последним рекомендациям RUSSCO, при отсутствии опыта лечения хорионкарциномы врач должен обратиться в экспертный центр (ФГБУ «НМИЦ онкологии им. Н.Н. Блохина» Минздрава России) для обсуждении тактики лечения.
На фоне лечения регулярно контролируется ХГЧ. При отсутствии эффекта на первой линии лечения следующим шагом должно стать направление пациентки на дальнейшее лечение в экспертный центр – ФГБУ «НМИЦ онкологии им. Н.Н. Блохина».
Хирургическое лечение выполняется в следующих случаях:
Дистанционная лучевая терапия проводится, если есть метастазы в головном мозге.
Наши статьи написаны с учетом принципов доказательной медицины. При подготовке материалов мы обращаемся за консультациями к практикующим врачам и ссылаемся на авторитетные источники. Однако все наши тексты носят рекомендательный характер и не заменяют визит к специалисту.