

Поддержите справочную «Просто спросить», чтобы пациенты получили поддержку вовремя
ПоддержатьГистологическое исследование – изучение под микроскопом опухоли молочной железы, лимфатического узла или метастаза. По внешнему виду клеток специалист определяет характеристики опухоли и ставит гистологический диагноз. Эта информация необходима лечащему врачу для назначения терапии.
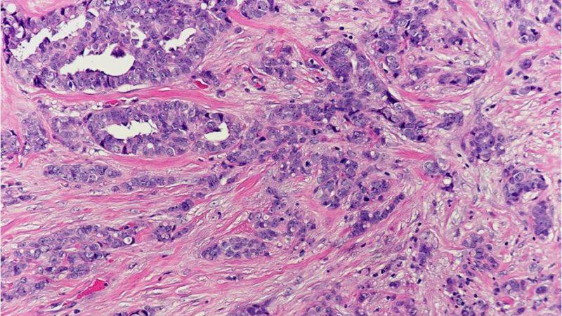
Так выглядит под микроскопом инвазивная протоковая карцинома:
Структура молочной железы представлена 15-20 долями и отходящими от них протоками.
Молочная железа состоит из большого количества маленьких трубочек — протоков, идущих от групп мешочков — долек. Пока опухоль развивается из клеток, покрывающих протоки и дольки, и не проникает в окружающие ткани, она остается неинвазивной — in situ, на месте. Протоковая карцинома in situ (DCIS), дольковая карцинома in situ (LCIS) – это нулевая стадия рака молочной железы. В настоящее время LCIS не относят к злокачественным новообразованиям молочной железы.
Диагноз «инвазивная карцинома» означает распространение опухолевых клеток за пределы протоков или долек на соседние структуры и ткани молочной железы.
Иммуногистохимия (ИГХ) — это метод, позволяющий патоморфологу найти определенные белки и антигены, характерные для опухоли.
Информация о выявляемых при иммуногистохимическом исследовании веществах необходима для:
Ключевую роль в выборе лечения инвазивного рака молочной железы играет определение наличия на опухолевых клетках рецепторов к гормонам и белку HER2. Подробнее о подтипах рака молочной железы читайте здесь.
Рецепторы — это белки, при помощи которых различные вещества, например, гормоны, осуществляют свое действие на клетку. В нормальных клетках молочной железы есть рецепторы к женским половым гормонам – эстрогену и прогестерону. Эти рецепторы могут быть в злокачественных клетках и стимулировать рост и размножение опухоли.
Такие опухоли молочной железы называются гормонозависимые. В их лечении используют гормональную терапию для подавления стимулирующего влияния гормонов на опухоль.
На поверхности опухолевых клеток при некоторых подтипах рака молочной железы присутствует много рецепторов эпидермального фактора роста 2 типа (human epidermal growth factor 2 receptor – HER2). Такая опухоль называется HER2-позитивной. Для лечения в этом случае используется специфическая таргетная терапия препаратами, которые блокируют HER2-рецепторы.
Есть два способа определения HER2-статуса опухоли.
1. Иммуногистохимия, описанная выше. В зависимости от выявленного ИГХ количества белка HER2 опухоль может быть:
2. Флуоресцентная гибридизация in situ (FISH) – это метод, позволяющий выявить генетические отклонения, способные вызвать рак молочной железы. Этот метод используется только в случае неопределенного иммуногистохимического результата (HER2 2+) и может дать окончательный ответ – является опухоль HER2-негативной или HER2-позитивной.
Используя метод FISH, врач-патолог ищет поломку в генах HER2, из-за которой этого рецептора становится больше, чем обычно. Поломка в генах подсвечивается флуоресцентным красителем и становится заметной для исследования под специальным микроскопом.
Если в опухоли отсутствуют рецепторы к гормонам и белку HER2, ее называют базальноподобной или трижды негативной. В такой ситуации гормональная и таргетная анти-HER2 терапия неэффективны. Для лечения используются химиотерапевтические препараты, которые угнетают деление злокачественных клеток опухоли и стимулируют их разрушение.
Наши статьи написаны с учетом принципов доказательной медицины. При подготовке материалов мы обращаемся за консультациями к практикующим врачам и ссылаемся на авторитетные источники. Однако все наши тексты носят рекомендательный характер и не заменяют визит к специалисту.

Материалы подготовлены при поддержке Avon.